Resonancia magnética
Revisado por el Dr. Colin Tidy, MRCGPÚltima actualización por el Dr. Toni Hazell, MRCGPÚltima actualización: 7 de agosto de 2023
Satisface las necesidades del paciente directrices editoriales
- DescargarDescargar
- Compartir
- Idioma
- Debate
La resonancia magnética es una prueba segura e indolora que permite obtener imágenes detalladas de los órganos y otras estructuras internas del cuerpo.
Nota: la información que figura a continuación es sólo una guía general. Las modalidades (y la forma de realizar las pruebas) pueden variar de un hospital a otro. Siga siempre las instrucciones de su médico o del hospital. Suelen adjuntarse a la carta de cita.
En este artículo:
Seguir leyendo
¿Qué es una resonancia magnética?
IRM son las siglas de resonancia magnética. La resonancia magnética utiliza un potente campo magnético y ondas de radio para crear una imagen detallada en la pantalla de un ordenador. Puede mostrar distintos tipos de tejidos, órganos y otras estructuras del interior del cuerpo.
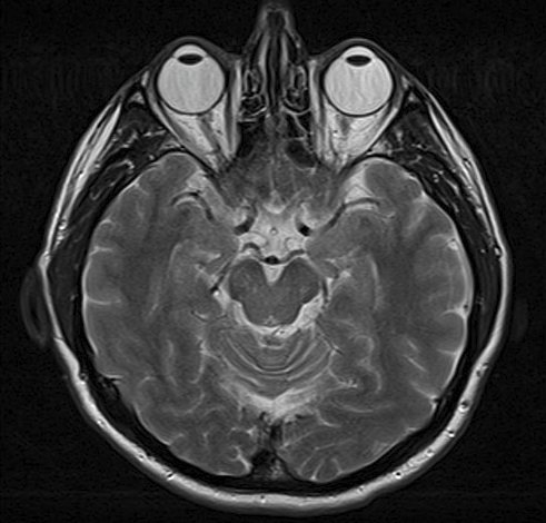
Esta imagen es una resonancia magnética de un cerebro. Los globos oculares de la persona pueden verse en la parte superior de la imagen.
Resonancia magnética

Por Ptrump (Obra propia) vía Wikimedia Commons
¿Cómo funciona una resonancia magnética?
Su cuerpo contiene millones de átomos de hidrógeno. Cuando estás en un escáner de resonancia magnética:
Un campo magnético intenso alinea las partículas llamadas protones que se encuentran dentro de los átomos de hidrógeno. Todos los protones se alinean en paralelo al campo magnético, como pequeños imanes. (Normalmente, los millones de protones se encuentran todos en direcciones aleatorias).
A continuación, el escáner envía breves ráfagas de ondas de radio al cuerpo. Las ondas de radio desplazan a los protones de su posición.
Cuando la ráfaga de ondas de radio se detiene, los protones vuelven a alinearse en su lugar. Al hacerlo, emiten señales de radio. Los protones de los distintos tejidos del cuerpo se realinean a velocidades diferentes. Por lo tanto, la señal emitida por los distintos tejidos corporales varía. Así, por ejemplo, los tejidos más blandos pueden distinguirse de los más duros en función de las señales emitidas.
Estas señales son detectadas por un dispositivo receptor en el escáner.
El dispositivo receptor transmite las señales a un ordenador. El ordenador crea una imagen basada en las señales de radio emitidas por el cuerpo.
Seguir leyendo
¿En qué consiste una resonancia magnética?
El escáner de resonancia magnética es como un túnel de 1,5 metros de largo rodeado por un gran imán circular. El paciente se tumba en una camilla que se desliza dentro del escáner. Se coloca un "dispositivo receptor", como una antena, detrás o alrededor de la parte del cuerpo que se va a examinar. Detecta las diminutas señales de radio emitidas por el cuerpo. Cuando se toma cada "imagen", debe permanecer quieto durante unos minutos, de lo contrario la imagen puede salir borrosa.
Escáner de IRM

Por Jan Ainali (obra propia) vía Wikimedia Commons.
La exploración en sí es indolora. El procedimiento completo puede durar entre 15 y 40 minutos. Puede resultar un poco incómodo permanecer inmóvil en la camilla durante este tiempo. Los niños pequeños pueden necesitar anestesia general para mantenerse quietos el tiempo suficiente para tomar las imágenes. El lugar donde se tumba es bastante cerrado y a algunas personas puede resultarles muy inquietante.
Si tiene miedo a los espacios cerrados(claustrofobia), coméntelo con su médico antes de someterse a la exploración. En algunas zonas del país hay máquinas de escáner "abiertas". Sin embargo, no están muy extendidas y la espera suele ser más larga para un escáner "abierto" que para uno cerrado.
En algunos casos, se administra una inyección de un medio de contraste especial en el torrente sanguíneo a través de una vena del brazo. Esto ayuda a obtener imágenes más claras de determinados tejidos u órganos que se examinan.
El radiógrafo se sienta en la sala de control junto al escáner y observa a través de la ventana. No obstante, puede hablar con ellos, normalmente a través de un interfono, y le observarán en todo momento en un monitor.
El escáner es ruidoso, por lo que le darán unos auriculares o tapones para protegerse los oídos del ruido. A menudo puede escuchar la radio o música a través de los auriculares.
¿Para qué sirve una resonancia magnética?
Una resonancia magnética puede crear imágenes claras de la mayoría de las partes del cuerpo. Por lo tanto, es útil para todo tipo de razones en las que otras pruebas (como las radiografías) no aportan suficiente información necesaria.
Se suele utilizar para obtener imágenes detalladas del cerebro y la médula espinal, detectar anomalías y tumores. Incluso los ligamentos rotos alrededor de las articulaciones pueden detectarse mediante una resonancia magnética. Por eso se utiliza cada vez más tras lesiones deportivas.
Cerebro
La resonancia magnética es la primera opción para investigar tumores cerebrales, ya que produce imágenes más claras que la tomografía computarizada (TC) y muestra zonas del cerebro de difícil acceso. Existe un claro contraste entre las partes grises y blancas del cerebro, lo que hace que la RM sea la mejor opción para muchas otras afecciones, como la esclerosis múltiple, el ictus, la enfermedad de Alzheimer y la epilepsia.
Sistema musculoesquelético
En este caso, la resonancia magnética se utiliza para examinar la columna vertebral y evaluar las enfermedades articulares, la presión sobre los nervios y los tumores de partes blandas.
Sistema gastrointestinal
La resonancia magnética permite evaluar de forma no invasiva la enfermedad inflamatoria intestinal y los tumores intestinales. También puede detectar problemas en el hígado y el páncreas.
Los vasos sanguíneos y el corazón
Se denomina angiografía por resonancia magnética (ARM) y genera imágenes de las arterias para buscar estrechamientos anormales o dilataciones de la pared de los vasos (los que corren riesgo de romperse). La ARM suele utilizarse para evaluar las arterias del cuello y el cerebro, la aorta torácica y abdominal, las arterias renales y las piernas. También puede utilizarse para evaluar cardiopatías congénitas.
Seguir leyendo
Preparación para una resonancia magnética
Su hospital local debe informarle de lo que necesita antes de acudir a la exploración.
El escáner de resonancia magnética utiliza un imán extremadamente potente, por lo que no se puede escanear a personas con determinados tipos de implantes médicos. Esto se debe a que el imán puede mover dispositivos médicos metálicos o afectar a su funcionamiento.
Por lo tanto, antes de entrar en la zona de escaneado le preguntarán si lleva algún dispositivo médico en el cuerpo. Es posible que tenga que rellenar un cuestionario de seguridad en el que se le pregunte sobre objetos que puedan contener metal. La siguiente no es una lista definitiva, pero puede ayudarle a recordar el tipo de cosas que los radiógrafos deben conocer:
Desfibrilador interno (implantado) o marcapasos.
Implante de oído (coclear).
Clips quirúrgicos como los utilizados en aneurismas cerebrales.
Válvulas cardíacas artificiales.
Puertos de infusión de medicamentos implantados.
Miembros artificiales o articulaciones metálicas.
Estimuladores nerviosos implantados.
Clavos, tornillos, placas, endoprótesis o grapas quirúrgicas.
También es importante que informe al radiógrafo si alguna vez ha tenido algún fragmento metálico alojado en los ojos o en el cuerpo. En algunos casos puede ser necesaria una radiografía antes de una resonancia magnética, para asegurarse de que puede entrar en el escáner sin peligro.
Efectos secundarios de una resonancia magnética
Las resonancias magnéticas son indoloras y se consideran seguras. Las resonancias magnéticas no utilizan rayos X, por lo que los posibles problemas asociados a las radiografías y las tomografías computarizadas (que utilizan rayos X) no están asociados a las resonancias magnéticas.
Sin embargo:
En raras ocasiones, algunas personas tienen reacciones al agente de contraste que se utiliza a veces.
Normalmente se recomienda a las mujeres embarazadas que no se sometan a una resonancia magnética a menos que sea urgente. Aunque se considera segura, aún se desconocen los efectos a largo plazo de los campos magnéticos potentes sobre el bebé en desarrollo.
Qué esperar después de la resonancia magnética
La exploración no deja secuelas. Puede volver a sus actividades normales en cuanto termine la exploración. Las imágenes de la exploración son estudiadas por un especialista que las interpreta -un radiólogo- y que envía un informe al médico que solicitó la exploración.
Lo normal es tener que esperar al menos dos semanas antes de conocer los resultados. Si hay algún hallazgo urgente, se informará al especialista lo antes posible. El resultado se devolverá a la persona que solicitó la exploración. Por tanto, si un consultor del hospital solicita una exploración, recibirá el resultado en su próxima cita con él. Si está preocupado, puede llamar a su secretaria, pero no se ponga en contacto con el médico de cabecera para pedirle el resultado, ya que no lo tendrá. Si el médico de cabecera ha solicitado una resonancia magnética, será él quien le dé el resultado.
Selección de pacientes para Imágenes

Pruebas e investigaciones
Histerosalpingografía
Hysterosalpingography (HSG) is a particular type of imaging of the uterus (womb) and the Fallopian tubes. It uses a dye to be able to visualise the size and shape of the uterus and check whether the Fallopian tubes are blocked.
por la Dra. Philippa Vincent, MRCGP

Pruebas e investigaciones
Gammagrafía ósea
A bone scan is a special type of nuclear medicine procedure that uses radionuclides to create a picture of the bones. Radionuclides are chemicals which emit radioactivity that can be detected by special scanners. A bone scan is different to a bone density scan (DEXA). See the DEXA Scan leaflet for more information on this bone density test. A DEXA scan is also known as a DXA scan. Note: the information below is a general guide only. The arrangements, and the way tests are performed, may vary between different hospitals. Always follow the instructions given by your doctor or local hospital.
por el Dr. Doug McKechnie, MRCGP
Lecturas complementarias y referencias
- Resonancia magnéticaCancer Research UK; 2022
Seguir leyendo
Historia del artículo
La información de esta página ha sido redactada y revisada por médicos cualificados.
Próxima revisión prevista: 5 de agosto 2028
7 agosto 2023 | Última versión

Pregunte, comparta, conecte.
Explore debates, formule preguntas y comparta experiencias sobre cientos de temas de salud.

¿Se encuentra mal?
Evalúe sus síntomas en línea de forma gratuita
Suscríbase al boletín informativo para pacientes.
Tu dosis semanal de consejos de salud claros y fiables, redactados para ayudarte a sentirte informado, seguro y en control.
Al suscribirte, aceptas nuestra Política de privacidad. Puedes darte de baja en cualquier momento. Nunca vendemos tus datos.