Ecografía
Revisado por Dr Hayley Willacy, FRCGP Última actualización por Dr Toni Hazell, MRCGPÚltima actualización 19 Sept 2023
Satisface las necesidades del paciente directrices editoriales
- DescargarDescargar
- Compartir
- Idioma
- Debate
An ultrasound scan is a painless test that uses sound waves to create images of organs and structures inside your body. It is a very commonly used test. As it uses sound waves it is thought to be very safe.
Doppler and duplex scans are used to visualise blood or fluids flowing through the body.
Nota: la información que figura a continuación es sólo una guía general. Las modalidades y la forma de realizar las pruebas pueden variar de un hospital a otro. Siga siempre las instrucciones de su médico o del hospital local.
En este artículo:
Seguir leyendo
What is an ultrasound scan?
An ultrasound scan is a safe and painless test that creates images of organs, glands, abnormal lumps and other structures like muscles, tendons and joints, as well as being used to monitor the growth and development of the fetus in pregnancy.
What is ultrasound?
Ultrasound is a high-frequency sound that you cannot hear but it can be emitted and detected by special machines.
What is an ultrasound used for?
It is used in many situations. The way the ultrasound bounces back from different tissues can help to determine the size, shape and consistency of organs, structures and abnormalities. So it can:
Help to monitor the growth of an unborn child and check for abnormalities. An ultrasound scan is routine for pregnant women.
Detect abnormalities of heart structures such as the heart valves. This type of ultrasound scan is called echocardiography. See the separate leaflet called Echocardiogram for more details.
Help to diagnose problems of internal organs such as the:
El hígado.
Vesícula biliar.
Páncreas.
Thyroid gland.
Lymph nodes.
Ovarios.
Testículos.
Kidneys.
Bladder.
Apéndice.
For example, it can help to determine if an abnormal lump in one of these organs is a solid tumour or a fluid-filled cyst. Ultrasound also helps look for stones in the gallbladder or kidney.
Help determine the nature of breast lumps. Ultrasound is one of the tests used to establish if a lump is non-cancerous (benign) or breast cancer.
Help diagnose problems with muscles, tendons and joints. For example, ultrasound scans are used to help diagnose:
Detect abnormal widening of blood vessels (aneurysms).
Guide internal biopsies. A biopsy is a procedure in which a sample of tissue is taken. Some biopsies are taken using a thin needle, and the needle is guided to the right place with an ultrasound scan. For example, if you have a lump in your breast, you may have a sample of the lump taken away. The sample is then examined under the microscope to see if your lump is cancerous or not.
Check if something that has been placed into your body is still there. For example, if you use a contraceptive coil (intrauterine device) and the threads are not visible, a scan will tell you if the coil is still there or has fallen out.
Some specialist ultrasound techniques
In some situations, a clearer picture can be obtained from a probe that is within the body. So a small probe, still attached by a wire to the ultrasound machine, can be:
Swallowed into the gullet (oesophagus). This may be used to obtain clearer images of the internal organs, particularly the stomach, upper gut and pancreas.
Placed in the vagina or rectum to obtain clearer images of inner organs, such as the womb (uterus), ovaries or prostate gland.
Used to help guide a surgeon during an operation, in order to look deeper into structures.
Ultrasound may also be used for treating certain conditions, particularly those of muscles, tendons and joints. The scan may be used to guide an injection which can help to treat the problem.
Doing the injection with the help of an ultrasound scan makes sure it reaches exactly the right place. For example, ultrasound-guided injections are a common way to treat shoulder problems such as a frozen shoulder.
The above are not exhaustive lists, and ultrasound scanning has other uses.
Preparing for an ultrasound scan
Usually there is no special preparation needed. Continue to take your usual medication. You should eat and drink normally before and after the test unless otherwise instructed. For example:
If certain parts of the tummy (abdomen) are being examined, you may be asked to eat a low-fibre diet for a day or so before the test (to minimise 'gas' in your gut).
You may be asked not to eat for several hours before a scan of the abdomen.
Occasionally for some scans, you may be given an enema to clear the bowel.
To scan the bladder or pelvis, you may be asked to drink some fluid before the test so that you have a full bladder. This is particularly likely if you are having a scan in pregnancy, or a scan of your ovaries or womb (uterus).
If your renal tract (kidneys and bladder) are being scanned, you may be asked to attend with a full bladder, have the first scan, empty your bladder, and then be scanned again. This is to check if your bladder is fully emptying when you go to the toilet.
You will be told what you need to do before any particular scan.
Seguir leyendo
¿Cómo funcionan los ultrasonidos?
Ultrasound travels freely through fluid and soft tissues. However, ultrasound bounces back (is reflected back) as echoes when it hits a more solid (dense) surface. For example, the ultrasound will travel freely though blood in a heart chamber. But, when it hits a solid valve, a lot of the ultrasound echoes back.
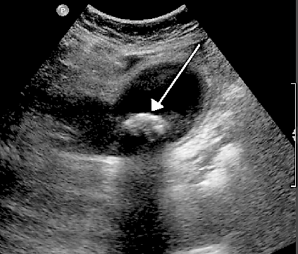
Another example is that when ultrasound travels though bile in a gallbladder it will echo back strongly if it hits a solid gallstone - as in the ultrasound image below. The arrow points to a gallstone in the gallbladder.
Gallstone ultrasound image

By James Heilman (Own work), via Wikimedia Commons
Así, cuando los ultrasonidos "golpean" diferentes estructuras de distinta densidad en el cuerpo, devuelven ecos de distinta intensidad.
What does an ultrasound scan involve?
You lie on a couch and an operator places a probe on your skin over the part of your body to be examined. The probe is a bit like a very thick blunt pen. Lubricating jelly is put on your skin so that the probe makes good contact with your body. The image below shows an ultrasound scan of the neck.
Neck ultrasound scan

By Senior Airman David C Danford, released [Public domain], via Wikimedia commons
The probe is connected by a wire to the ultrasound machine, which is linked to a monitor. Pulses of ultrasound are sent from the probe through the skin into your body. The ultrasound waves then bounce back as echoes from the various structures in the body.
The echoes are detected by the probe and are sent down the wire to the ultrasound machine.
Ultrasound scanning machine

By Daniel W Rickey, via Wikimedia Commons
They are displayed as a picture on the monitor. The picture is constantly updated so the scan can show movement as well as structure. For example, the valves of a heart opening and closing during a scan of the heart.
The operator moves the probe around over the surface of the skin to obtain views from different angles.
The scan is painless and takes about 15-45 minutes, depending on which parts of the body are being examined. A record of the results of the test can be made as still pictures or as a video recording, and a report summarising the finding will also be written.
Seguir leyendo
What is a Doppler ultrasound scan?
A Doppler ultrasound records sound waves reflecting off moving objects, such as blood cells, to measure their speed and other aspects of how they flow through the body.
How does Doppler ultrasound work?
If the structure is moving then the echo comes back at a slightly different frequency (called the Doppler effect). This difference in frequency can be used to measure the speed of movement.
Blood moving in an artery or vein causes small echoes and these are used to measure the speed of movement of the blood cells. The sound waves may be amplified though speakers.
This allows the practitioner to listen to the flow of blood cells to determine whether or not there is normal flow. For example, listening to the flow of blood through the heart of a baby during a routine antenatal check-up.
The sound waves may also be converted to colour pictures on a screen so that flow can be seen through the arteries or veins (colour Doppler) - as below.
Colour Doppler ultrasonography

By Mikael Häggström [CC0] (Own work), via Wikimedia Commons
They may also be plotted on a graph showing changes in speed and direction (velocity).
What is Doppler ultrasound used for?
To listen to the heartbeat of an unborn baby (fetus) during pregnancy.
To examine blood flow in arteries or veins in your arms or legs to see if you might have:
Injury to your veins or arteries following trauma.
What does a Doppler ultrasound involve?
During pregnancy, the Doppler ultrasound is very similar to an ultrasound scan. A probe covered with gel is put on your skin over the pregnant womb (uterus). This is connected to a speaker. You and the practitioner are able to listen to the flow of blood through the baby's heart.
During a Doppler ultrasound of the arms and legs, blood pressure cuffs are placed along the thigh, calf, or ankle, or to different points along the arm. A paste is applied to the skin over the arteries being examined. Images are created as the probe is moved over each area.
What is duplex ultrasound?
Duplex ultrasound is a special technique which combines traditional ultrasound with Doppler ultrasound. Images of the solid object being examined - for example, the artery and the blood flowing through it - are displayed on a screen or monitor.
The object is usually grey and the blood flow is usually in colour (colour Doppler).
What is duplex ultrasound used for?
Duplex ultrasound is most commonly used to evaluate the blood flow in various arteries and veins in the body. The scan can help diagnose the following conditions:
Widening of the main artery in the tummy (abdominal aortic aneurysm). Ultrasound scans are used in the national screening programmes across the UK for abdominal aortic aneurysm.
Blockage to an artery (an arterial occlusion).
Coágulo de sangre.
Blockage to the arteries in the neck (carotid occlusive disease).
Renal duplex examines the kidneys and their blood vessels.
Venous insufficiency (a condition where veins have a problem sending blood back to the heart).
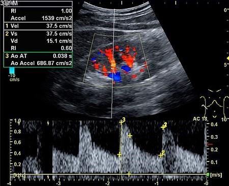
The images below are produced from a Doppler scan of the kidney.
Kidney ultrasound scan

By Kristoffer Lindskov Hansen, Michael Bachmann Nielsen and Caroline Ewertsen [CC BY 4.0 (https://creativecommons.org/licenses/by/4.0)], via Wikimedia Commons
What does a duplex ultrasound involve?
This test is very similar to an ultrasound scan. A probe covered with gel is placed over the area to be examined. Images of the solid organ and the blood flowing through it are then seen on a monitor.
¿Tiene efectos secundarios?
These scans are painless and safe. Unlike X-rays and other imaging tests, they do not use radiation. They have not been found to cause any problems or complications.
What happens after an ultrasound scan?
The person operating the scanning machine will have put some jelly on to your skin at the start of the procedure. Once the scan is completed, this jelly will be wiped off and you can get dressed and leave.
The scan operator sometimes talks to you during the scan, so you may immediately have an idea of what was found. A report also needs to be written and this is sent to the person who ordered your scan - your GP or specialist team.
They will be able to discuss your result when you see them next. The results are normally available within a couple of weeks. It is important that you get the result from the team who requested your scan - so if the scan was requested by a hospital consultant, you should contact their secretary for the result, not your GP.
Selección de pacientes para Imágenes

Pruebas e investigaciones
Gammagrafía con radionúclidos
Una gammagrafía con radionúclidos es una forma de obtener imágenes de huesos, órganos y otras partes del cuerpo utilizando una pequeña dosis de una sustancia química radiactiva. Hay distintos tipos de radionúclidos químicos. El que se utilice dependerá del órgano o parte del cuerpo que se vaya a explorar. Nota: la información que figura a continuación es sólo una guía general. Las modalidades y la forma de realizar las pruebas pueden variar de un hospital a otro. Siga siempre las instrucciones de su médico u hospital local.
por la Dra. Rachel Hudson, MRCGP

Pruebas e investigaciones
Colonografía por TC
TC significa tomografía computarizada. La colonografía por TC utiliza un escáner de TC para obtener imágenes detalladas del colon y el recto. Esta prueba puede utilizarse en lugar de una colonoscopia para ayudar a detectar cánceres y otras afecciones intestinales. Nota: la información que figura a continuación es sólo una guía general. Las modalidades y la forma de realizar las pruebas pueden variar de un hospital a otro. Siga siempre las instrucciones de su médico u hospital local.
por la Dra. Rachel Hudson, MRCGP
Lecturas complementarias y referencias
- Dietrich CF, Mathis G, Cui XW, et al; Ultrasound of the pleurae and lungs. Ultrasound Med Biol. 2015 Feb;41(2):351-65. doi: 10.1016/j.ultrasmedbio.2014.10.002.
- Directrices para la práctica profesional de la ecografía; Sociedad y Colegio de Radiógrafos y Sociedad Británica de Ecografía Médica (SCoR/BMAS), 2019
- Ulrich CC, Dewald O; Pregnancy Ultrasound Evaluation.
Seguir leyendo
Historia del artículo
La información de esta página ha sido redactada y revisada por médicos cualificados.
Próxima revisión prevista: 17 de septiembre 2028
19 Sept 2023 | Última versión

Pregunte, comparta, conecte.
Explore debates, formule preguntas y comparta experiencias sobre cientos de temas de salud.

¿Se encuentra mal?
Evalúe sus síntomas en línea de forma gratuita
Suscríbase al boletín informativo para pacientes.
Tu dosis semanal de consejos de salud claros y fiables, redactados para ayudarte a sentirte informado, seguro y en control.
Al suscribirte, aceptas nuestra Política de privacidad. Puedes darte de baja en cualquier momento. Nunca vendemos tus datos.