Lesiones y fracturas de codo
Revisado por el Dr. Colin Tidy, MRCGPÚltima actualización por el Dr. Hayley Willacy, FRCGP Última actualización: 27 de junio de 2024
Satisface las necesidades del paciente directrices editoriales
- DescargarDescargar
- Compartir
- Idioma
- Debate
Profesionales médicos
Los artículos de referencia profesional están diseñados para uso de los profesionales de la salud. Están escritos por médicos del Reino Unido y se basan en pruebas de investigación y directrices británicas y europeas. Quizás le resulte más útil el artículo Lesiones y fracturas del antebrazo, o alguno de nuestros otros artículos sobre salud.
En este artículo:
El húmero de la parte superior del brazo y los pares de radio y cúbito del antebrazo se unen para formar la articulación del codo, una articulación de bisagra en la parte superior del brazo. La prominencia ósea en la punta del codo es la apófisis del olécranon del cúbito. La fosa antecubital se sitúa sobre la cara anterior del codo.
Las lesiones en el codo son frecuentes, suelen producirse de forma secundaria a un traumatismo indirecto y a menudo van acompañadas de lesiones en las articulaciones del hombro o la muñeca.1 Es importante evaluar las lesiones con prontitud y precisión, teniendo en cuenta la edad y el mecanismo de la lesión, sobre todo por el riesgo de afectación vascular acompañante. La prueba de extensión del codo es una herramienta de cribado útil para detectar lesiones óseas, aunque no infalible.23
Además de las lesiones enumeradas en la tabla siguiente, consulte también los artículos separados Lesiones y fracturas del antebrazo (trata las fracturas de Monteggia), Subluxación de la cabeza del radio (codo de niñera), Codo de tenista y codo de golfista y Bursitis del olécranon.
Seguir leyendo
El mecanismo de lesión
Existe una gran variedad de posibles lesiones debido a la presencia de tres huesos y a la gama de mecanismos de lesión.
Fracturas de cabeza y cuello del radio | Caer sobre una mano tendida |
Fracturas del olécranon | Ancianos: traumatismo indirecto por tracción de tríceps y braquiorradial. Niños - golpe directo en el codo |
Fracturas de la apófisis coronoides | Caída sobre un codo extendido como en la luxación de codo |
Fracturas del húmero distal | Caer sobre una mano extendida |
Fracturas intercondilares | Golpe directo o indirecto en el codo |
Fracturas condilares | Golpe directo en un codo flexionado |
Fractura del Capitellum | Caída sobre una mano extendida, o traumatismo directo. |
Luxación de codo | Caer sobre un codo extendido Común en el deporte en los jóvenes |
Fracturas de cabeza y cuello del radio4
Mecanismo de lesión
La causa más frecuente es una caída sobre el brazo extendido. La fractura de la cabeza del radio es la más frecuente en la articulación del codo en adultos, mientras que las fracturas del cuello del radio son más frecuentes en niños.
Características clínicas
El paciente presenta hinchazón en la parte lateral del codo con limitación de la amplitud de movimiento, en particular de la rotación del antebrazo y la extensión del codo ± derrame y hematoma en el codo. El dolor aumenta con la rotación pasiva.
El signo clínico más fiable es la sensibilidad puntual sobre la cabeza radial.
Necesita una evaluación cuidadosa de la afectación nerviosa y vascular, especialmente de la arteria braquial y los nervios mediano y cubital.
Es importante detectar la crepitación o un bloqueo mecánico del movimiento de los fragmentos de fractura desplazados. Esto requiere a menudo la aspiración de una hemartrosis con la instilación de un anestésico local para aliviar el dolor.
Si hay dolor importante en la muñeca y/o dolor central en el antebrazo, puede haber disociación radiocubital longitudinal aguda con disrupción de la articulación radiocubital distal.
Investigaciones
Las radiografías AP y laterales del codo suelen ser suficientes.
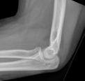
Los hallazgos pueden ser bastante sutiles y la única pista puede ser el signo de la almohadilla de grasa (sombras radiolúcidas triangulares anteriores y posteriores al húmero distal en la radiografía lateral, que indican hemartrosis y desplazamiento de la almohadilla de grasa intraarticular, a menudo asociado a una lesión esquelética intraarticular).
Imagen del signo de la almohadilla adiposa del codo (Hellerhoff (obra propia), vía Wikimedia Commons):
Signo de la almohadilla de grasa del codo

James Heilman, MD, CC BY-SA 4.0, vía Wikimedia Commons
Tratamiento de las fracturas de codo
Remitir para tratamiento quirúrgico urgente si hay fractura de codo, luxación o evidencia de afectación nerviosa o vascular.
Las fracturas complejas requieren reducción abierta y fijación interna.
En caso contrario, administrar analgesia suficiente y considerar la aspiración articular y la instilación de anestésico (normalmente en manos expertas).
Inmovilizar el codo en una férula posterior de brazo largo con el codo a 90°.
En fracturas no desplazadas, retire la férula posterior y sustitúyala por un cabestrillo sólo para mayor comodidad; controle el desplazamiento e instituya ejercicios activos de amplitud de movimiento, incluyendo rotación, flexión y extensión al menos 3-4 veces al día.
Una revisión Cochrane de 2011 halló que faltaban pruebas fiables para responder a la pregunta de si la movilización precoz mejoraba la función sin aumentar las complicaciones en adultos con fracturas de codo.5
En niños
Puede ser difícil de diagnosticar, ya que la osificación de la cabeza radial no se produce hasta los 4 años de edad.
Puede haber una fractura asociada del eje cubital (equivalente a la fractura de Monteggia del adulto).
Puede ser necesario realizar una ecografía o una resonancia magnética para confirmar el diagnóstico.
Seguir leyendo
Fracturas del olécranon6
Mecanismo de lesión
Se trata de fracturas de baja energía que se producen con mayor frecuencia en personas de edad avanzada y son el resultado de un traumatismo indirecto causado por un tirón repentino de los músculos tríceps y braquiorradial.
Sin embargo, en los pacientes más jóvenes, las fracturas del olécranon suelen seguir a un golpe directo en la punta del codo y a menudo son conminutas, y puede haber una fractura asociada del eje cubital.
Características clínicas
El paciente presenta inflamación y sensibilidad en el olécranon con hemartrosis y limitación de la amplitud de movimiento.
Hay una incapacidad para extender el codo contra la gravedad, lo que indica una disfunción de la palanca del tríceps.
Es necesario comprobar si hay lesiones en el nervio cubital y examinar los pulsos distales.
Investigaciones
La radiografía lateral verdadera del codo debe revelar la fractura.
Gestión
Inmovilizar el codo en una férula posterior de brazo largo con el codo en flexión de 60-90°, bien moldeado posteriormente.
Sujete el brazo con cuello y puños o con un cabestrillo estándar.
Remitir las fracturas desplazadas a cirugía. En fracturas no desplazadas, ferulizar durante 5-7 días, retirar y repetir radiografía para confirmar que no hay desplazamiento.
Si todavía está estable, son apropiados los ejercicios suaves de supinación y pronación, utilizando un cabestrillo o una férula posterior extraíble para mayor comodidad.
Ejercicios de flexión y extensión al cabo de dos semanas.
Fracturas de la apófisis coronoides7
Mecanismo de lesión
El mecanismo de lesión es el mismo que para la luxación de codo y estas fracturas se asocian a la luxación de codo en aproximadamente el 40% de los casos.
Características clínicas
Los pacientes presentan sensibilidad en la fosa antecubital e hinchazón alrededor del codo.
Comprobar la fuerza del pulso radial con el codo a 90°.
Investigaciones
La radiografía lateral del codo debe mostrar una fractura coronoidea.
Gestión
Las fracturas no desplazadas deben inmovilizarse con una férula posterior de brazo largo con el codo a 90° y el antebrazo en supinación completa. Al cabo de tres semanas, comience a realizar ejercicios activos de amplitud de movimiento utilizando un cabestrillo para mayor comodidad.
Las fracturas desplazadas o las que afectan a más del 50% del proceso necesitan reparación quirúrgica.
Seguir leyendo
Fracturas del húmero distal8
Mecanismo de lesión
Pueden producirse en pacientes jóvenes tras traumatismos de alta energía o en pacientes osteoporóticos de edad avanzada tras lesiones de baja energía.
Supracondílea/transcondílea: la mayoría son lesiones de tipo extensión por una caída sobre un brazo extendido.
Las fracturas transcondilares son más frecuentes en los ancianos.
Las fracturas supracondíleas son más frecuentes en los niños.
Características clínicas
El paciente suele presentar hinchazón y dolor en el codo.
Examinar cuidadosamente la afectación neural o vascular debido al riesgo de dañar la arteria braquial y el nervio.
La hinchazón marcada del antebrazo o la induración palpable de los flexores del antebrazo, con dolor a la extensión pasiva de los dedos, sugiere un síndrome compartimental volar agudo que requiere una fasciotomía de urgencia.
Hasta el 18% de las fracturas de la diáfisis humeral presentan una parálisis del nervio radial asociada.9
Investigaciones
Radiografías AP y lateral del codo.
Gestión
Todas las fracturas, excepto las no desplazadas o mínimamente desplazadas sin afectación neural o vascular, deben remitirse para reparación quirúrgica, aunque una revisión Cochrane encontró una falta de consenso sobre el mejor tratamiento quirúrgico.10
Inmovilizar el codo en una férula posterior de brazo largo con el codo a 90° respecto al antebrazo en rotación neutra.
Compruebe los pulsos distales tras la colocación de la férula y, en caso de ausencia, extienda el codo hasta el punto en que vuelvan los pulsos.
La comprobación frecuente de la función neural y vascular es esencial durante los primeros 7-10 días, y el hielo y la elevación son importantes para reducir la inflamación.
Reexaminar en 24-48 horas.
Al cabo de dos semanas, los pacientes deben quitarse la férula y realizar ejercicios suaves, seguir utilizando una férula durante aproximadamente seis semanas y, a continuación, empezar a realizar ejercicios enérgicos.
Fracturas intercondilares
Se trata de fracturas en forma de T o de Y con desplazamiento variable entre los cóndilos y el húmero.
Mecanismo de lesión
Causada comúnmente por un golpe directo o indirecto en el codo. El olécranon es forzado como una cuña entre los dos cóndilos del húmero.
Características clínicas
El paciente suele presentar una marcada inflamación de los tejidos, manteniendo el antebrazo en pronación.
El antebrazo lesionado puede parecer acortado.
Se puede sentir crepitación de movimiento cuando se presionan los cóndilos entre sí.
Investigaciones
Las vistas AP y lateral deben revelar la fractura intercondilar.
Gestión
La mayoría de las fracturas requieren cirugía porque están desplazadas.11
Remitir para opinión ortopédica.
En raras ocasiones, las fracturas no desplazadas pueden tratarse de forma similar a las fracturas supracondíleas no desplazadas, como se ha indicado anteriormente.
Fracturas condilares12
Mecanismo de lesión
Las fracturas del cóndilo lateral son más frecuentes que las del medial.
Las fracturas laterales suelen deberse a un esfuerzo repentino en varo sobre un codo en extensión: una caída sobre un codo extendido.
Las fracturas mediales se deben a un impacto en el olécranon con el codo flexionado o a una tensión repentina en valgo sobre un codo en extensión.
Características clínicas
Los pacientes suelen presentar inflamación, limitación de la amplitud de movimiento y sensibilidad en el cóndilo lesionado.
Frecuentemente hay crepitación con el movimiento.
Investigaciones
Las radiografías AP y laterales revelan una distancia intercondilar ensanchada y puede haber fragmentos de fractura desplazados.
Gestión
La aspiración de la hemartrosis articular alivia las molestias.
Las fracturas desplazadas requieren corrección quirúrgica.13
Las fracturas no desplazadas pueden tratarse con una férula posterior de brazo largo con el codo a 90°.
Fractura del capitel14
Mecanismo de lesión
Estas fracturas suelen estar causadas por una caída sobre la mano extendida o por un traumatismo directo.
Características clínicas
Estas fracturas afectan a la superficie articular distal del húmero.
Presenta dolor y derrame en la parte anterior del codo.
Investigaciones
La radiografía lateral y AP suele revelar la fractura.
Gestión
Las fracturas no desplazadas pueden entablillarse, pero lo más habitual es que estén desplazadas y requieran fijación quirúrgica.
Luxación de codo
La luxación de codo es la segunda luxación articular importante más frecuente.9 La "tríada terrible del codo" se refiere a una combinación de luxación del codo y fractura de la cabeza del radio y de la apófisis coronoides - es notoriamente difícil de tratar aunque una revisión sistemática encontró que aunque las complicaciones son comunes, los resultados funcionales son generalmente satisfactorios.15
Mecanismo de lesión
A menudo debido a una caída sobre un codo extendido.
Las luxaciones sin fractura se denominan simples, mientras que las luxaciones con fractura se denominan complejas.
Se clasifican según la posición del cúbito en relación con el húmero tras la lesión.
Características clínicas
A menudo se asocia a lesiones de la arteria y el nervio braquiales, por lo que debe realizarse un examen completo de los pulsos distales y de la función de los nervios mediano y cubital.16
El paciente suele presentar dolor intenso, con el codo flexionado y una inflamación y deformidad evidentes.
Investigaciones
Radiografías AP y laterales del codo para confirmar la luxación y excluir fracturas.
Tratamiento de la luxación de codo
La reducción inmediata es esencial. Suele realizarse bajo sedación intravenosa y con la analgesia adecuada.
Luxación posterior:17
Primero intente la contratracción en el húmero mientras aplica tracción longitudinal en la muñeca y el antebrazo.
Continúe la tracción distal mientras se flexiona el codo.
Puede necesitar presión hacia abajo en el antebrazo proximal.
Si esto falla, coloque al paciente boca abajo con el codo colgando del lateral de la camilla y coloque una almohada pequeña debajo del húmero justo proximal a la articulación del codo; cuelgue un peso de 2,5-10 kg de la muñeca o aplique una tracción longitudinal suave.
Suele reducirse en varios minutos, pero puede ser necesario ejercer presión hacia delante sobre el olécranon.
Luxación anterior:18
Básicamente lo contrario de lo anterior, aplicando presión posterior y hacia abajo en el antebrazo mientras se aplica presión anterior desde atrás al húmero distal.
Tras la reducción, compruebe la movilidad y la estabilidad de la articulación, así como la función neural y vascular. Repita la radiografía e inmovilice el codo en una férula posterior con el codo a 90°.
Lecturas complementarias y referencias
- Shearman C y El-Khoury GPitfalls in the Radiologic Evaluation of Extremity Trauma: Part I. The Upper Extremity, Am Fam Phys 1998 March 1;57(5):995-1006.
- Galbiatti JA, Cardoso FL, Ferro JAS, et alTríada terrible del codo: evaluación del tratamiento quirúrgico. Rev Bras Ortop. 2018 Jun 11;53(4):460-466. doi: 10.1016/j.rboe.2018.05.012. eCollection 2018 Jul-Aug.
- Lu X, Yan G, Lu M, et al.Características epidemiológicas y tratamiento de la luxación de codo con fractura asociada en la población pediátrica. Medicine (Baltimore). 2017 Dec;96(48):e8595. doi: 10.1097/MD.0000000000008595.
- Sonin AFracturas de codo y antebrazo. Semin Musculoskelet Radiol. 2000;4(2):171-91.
- Appelboam A, Reuben AD, Benger JR, et al.Prueba de extensión del codo para descartar una fractura de codo: validación prospectiva multicéntrica y estudio observacional de la precisión diagnóstica en adultos y niños. BMJ. 2008 Dic 9;337:a2428. doi: 10.1136/bmj.a2428.
- Jie KE, van Dam LF, Verhagen TF, et al.La prueba de extensión y la sensibilidad del punto osal no pueden excluir con exactitud una lesión significativa en el traumatismo agudo de codo. Ann Emerg Med. 2014 Jul;64(1):74-8. doi: 10.1016/j.annemergmed.2014.01.022. Epub 2014 feb 13.
- Saeed W, Waseem MVisión general de las fracturas de codo.
- Harding P, Rasekaba T, Smirneos L, Holland AE. Movilización precoz de las fracturas de codo en adultosBase de datos Cochrane de revisiones sistemáticas 2011, número 6. Art. No.: CD008130. DOI: 10.1002/14651858.CD008130.pub2.
- Sullivan CW, Herron T, Hayat ZFractura del olécranon.
- Lowery M, Massey PFracturas coronoideas.
- Saracco M, Smimmo A, De Marco D, et al.Abordaje quirúrgico de la fractura distal del húmero: Posterior vs lateral. Orthop Rev (Pavia). 2020 Jun 25;12(Suppl 1):8664. doi: 10.4081/or.2020.8664. eCollection 2020 Jun 29.
- Menú Articulación del codoLibro de texto de ortopedia de Wheeless
- Wang Y, Zhuo Q, Tang P, et al.Intervenciones quirúrgicas para el tratamiento de las fracturas distales del húmero en adultos (Revisión Cochrane traducida). Cochrane Database Syst Rev. 2013 Jan 31;1:CD009890. doi: 10.1002/14651858.CD009890.pub2.
- Tomori Y, Sudo Y, Iizawa N, et al.Fractura intercondilar del húmero distal en un niño de 7 años: A case report and a review of the literature. Medicine (Baltimore). 2017 Feb;96(6):e6085. doi: 10.1097/MD.0000000000006085.
- Martins T, Tiwari V, Marappa-Ganeshan RFracturas pediátricas del cóndilo humeral lateral.
- Tomori Y, Nanno M, Takai SLuxación posteromedial del codo con fractura condilar lateral del húmero en niños: Tres informes de casos y una revisión de la literatura. Medicine (Baltimore). 2018 Sep;97(36):e12182. doi: 10.1097/MD.0000000000012182.
- Majeed M, Thahir A, Krkovic MEl tratamiento quirúrgico de las fracturas del Capitellum. Cureus. 2024 Apr 29;16(4):e59326. doi: 10.7759/cureus.59326. eCollection 2024 Apr.
- Laumonerie P, Mansat PLesión de la tríada terrible del codo: un espectro de teorías. JSES Int. 2023 Apr 15;7(6):2565-2568. doi: 10.1016/j.jseint.2023.03.018. eCollection 2023 Nov.
- Sheps DM, Hildebrand KA, Boorman RSDislocaciones simples del codo: evaluación y tratamiento. Hand Clin. 2004 Nov;20(4):389-404.
- Waymack JR, An JDislocación posterior del codo.
- Decker N, Norse A; luxación anterior de codo.
Seguir leyendo
Historia del artículo
La información de esta página ha sido redactada y revisada por médicos cualificados.
Próxima revisión prevista: 26 de junio 2027
27 Jun 2024 | Última versión

Pregunte, comparta, conecte.
Explore debates, formule preguntas y comparta experiencias sobre cientos de temas de salud.

¿Se encuentra mal?
Evalúe sus síntomas en línea de forma gratuita