Síndrome de Pancoast
Revisado por la Dra. Hayley Willacy, FRCGP Última actualización por el Dr. Colin Tidy, MRCGPÚltima actualización: 21 de abril de 2023
Satisface las necesidades del paciente directrices editoriales
- DescargarDescargar
- Compartir
- Idioma
- Debate
Profesionales médicos
Los artículos de referencia profesional están diseñados para uso de los profesionales de la salud. Están escritos por médicos británicos y se basan en pruebas de investigación y directrices británicas y europeas. Puede que alguno de nuestros artículos sobre salud le resulte más útil.
En este artículo:
Sinónimos: Síndrome de Tobias, Síndrome de Ciuffini-Pancoast-Tobias
Seguir leyendo
¿Qué es el síndrome de Pancoast?1
El síndrome de Pancoast suele estar causado por una neoplasia maligna del surco pulmonar superior que produce lesiones destructivas de la entrada torácica junto con afectación del plexo braquial y el ganglio estrellado. Estos cánceres son poco frecuentes y representan menos del 5% de todos los cánceres de pulmón. La neoplasia suele ser de origen broncogénico (aproximadamente la mitad son carcinomas de células escamosas y la otra mitad adenocarcinomas).2
Síntomas del síndrome de Pancoast (presentación)2
Este síndrome es el resultado de la invasión de una serie de estructuras y tejidos alrededor de la entrada torácica y puede caracterizarse por:
Invasión ipsilateral del plexo simpático cervical, que provoca el síndrome de Horner (miosis, enoftalmos, ptosis) en el 14-50% de los pacientes.3
Distrofia simpática refleja ipsilateral en el brazo, con aumento de la sensibilidad al tacto y alteraciones cutáneas.
Dolor en hombro y brazo (desde la invasión del plexo braquial C8-T1) con atrofia de los músculos intrínsecos de la mano y parestesias en la cara medial del brazo.
Con menor frecuencia, parálisis unilateral del nervio laríngeo recurrente que produce parálisis unilateral de las cuerdas vocales (voz ronca ± tos bovina), y/o afectación del nervio frénico.
Edema del brazo secundario a la compresión de los vasos sanguíneos.
Obstrucción de la vena cava superior, con hinchazón facial, dificultad respiratoria y aspecto enrojecido.
Las principales características de presentación del dolor de hombro y brazo, en ausencia de síntomas respiratorios, pueden dar lugar a un retraso en el diagnóstico mientras se investiga de forma inadecuada si el paciente padece artritis cervical, bursitis de hombro y lesiones del manguito de los rotadores.4
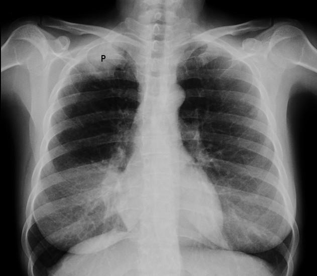
Radiografía de un tumor de Pancoast

Por Jmarchn, CC BY-SA 3.0vía Wikimedia Commons
Seguir leyendo
Otras causas
Otras neoplasias distintas del cáncer de pulmón pueden provocar el síndrome de Pancoast. Se han descrito cánceres primarios, como el de mama, mesotelioma, plasmocitoma o linfoma;5 o carcinoma metastásico de laringe, cuello uterino, vejiga, tiroides o colon.6
Las causas no neoplásicas del síndrome de Pancoast son raras. Sin embargo, se han descrito casos debidos a neumonía bacteriana (estafilocócica o pseudomonas), tuberculosis, enfermedad hidatídica,7 8 aneurisma micótico, nocardiosis diseminada (una infección bacteriana Gram-positiva poco frecuente), granulomas de células plasmáticas, una costilla cervical y amiloidosis pulmonar.
Puesta en escena
Esto es como para otros carcinomas broncogénicos, es decir, la clasificación de tumores, ganglios y metástasis (TNM). La mayoría de los tumores de Pancoast son T3 en el momento de la presentación, ya que invaden la pleura y el plexo braquial.3
Seguir leyendo
Investigaciones1
Es similar al de otros cánceres de pulmón, con énfasis en la obtención de imágenes, incluidas la RXC y la TC de los pulmones y el abdomen, y también posiblemente la tomografía por emisión de positrones (PET). La RM es la prueba de imagen de elección para evaluar las estructuras de la entrada torácica antes de la cirugía.3 9 Suelen realizarse TC o RM cerebrales, ya que es el lugar más frecuente de metástasis. Suelen obtenerse buenos resultados de la biopsia por métodos percutáneos.10
Tratamiento y manejo del síndrome de Pancoast1 11
El National Institute for Health and Care Excellence (NICE) recomienda que los tumores de Pancoast se traten del mismo modo que otros tipos de cáncer de pulmón no microcítico (CPNM), con terapia multimodal en función de la resecabilidad, el estadio del tumor y el estado funcional de la persona.12
Sin embargo, su tratamiento puede diferir del de otros tipos de cáncer de pulmón no microcítico (CPNM). Su posición y su proximidad a estructuras vitales pueden dificultar la cirugía. Por lo tanto, dependiendo del estadio del cáncer, el tratamiento puede incluir radioterapia y quimioterapia administradas antes de la cirugía.
La cirugía puede consistir en la extirpación del lóbulo superior de un pulmón junto con sus estructuras asociadas, así como una linfadenectomía mediastínica.
Existen varios enfoques quirúrgicos, cada uno con sus ventajas e inconvenientes.13 Los tres procedimientos más comunes son el abordaje postero-lateral alto, el abordaje torácico transcervical anterior y el abordaje transesternal anterior.
La resección puede implicar una resección en cuña o una lobectomía.3 10 14 Históricamente, también se ha resecado el plexo braquial afectado, lo que ha provocado parálisis y dolor neuropático; sin embargo, se ha demostrado en gran medida que esto es innecesario.15
Pronóstico
Hasta la década de 1990, el tratamiento bimodal (radioterapia preoperatoria seguida de cirugía) daba como resultado una supervivencia a cinco años, en el mejor de los casos, de sólo el 30%, y una tasa de recurrencia del 70%.13 Sin embargo, la llegada de la terapia trimodal (quimiorradioterapia de inducción seguida de resección) ha reducido las tasas de recurrencia al 30%; la supervivencia a cinco años sigue siendo modesta, entre el 40% y el 70%.3 13
Lecturas complementarias y referencias
- Villgran VD, Chakraborty RK, Cherian SVSíndrome de Pancoast. StatPearls, enero de 2023.
- Gundepalli SG, Tadi P; Tumor de Pancoast de Pulmón. StatPearls, Ene 2023.
- Palumbo VD, Fazzotta S, Fatica F, et al.Tumor de Pancoast: opciones terapéuticas actuales. Clin Ter. 2019 Jul-Ago;170(4):e291-e294. doi: 10.7417/CT.2019.2150.
- Panagopoulos N, Leivaditis V, Koletsis E, et al.Tumores de Pancoast: características y evaluación preoperatoria. J Thorac Dis. 2014 Mar;6 Suppl 1:S108-15. doi: 10.3978/j.issn.2072-1439.2013.12.29.
- Foroulis CN, Zarogoulidis P, Darwiche K, et al.Tumores del surco superior (Pancoast): evidencia actual sobre diagnóstico y tratamiento radical. J Thorac Dis. 2013 Sep;5(Suppl 4):S342-S358.
- Singh D, Wijeyekoon B; Case report of Pancoast tumour mimicking temporal arteritis; BMJ Case Reports 2012; doi:10.1136/bcr-2012-006285.
- Sarkar A, Das A, Basuthakur S, et al.Síndrome de Pancoast: Una rara presentación del linfoma no Hodgkin. Lung India. 2013 Jul;30(3):209-11. doi: 10.4103/0970-2113.116266.
- Lu CC, Lin HF, Lee HS, et al.Cáncer de colon metastásico que se presenta como enfermedad de Pancoast. Am J Surg. 2009 May;197(5):e51-2. Epub 2009 Feb 13.
- Ozpolat B, Ozeren M, Soyal T, et al.Quiste hidatídico mediastínico extrapulmonar intratorácico de localización inusual que se manifiesta como síndrome de Pancoast. J Thorac Cardiovasc Surg. 2005 Mar;129(3):688-9.
- Dao I, El Mostarchid B, Onen J, et al.Pancaost syndrome related to hydatid cyst. Pan Afr Med J. 2013 Mar 27;14:118. doi: 10.11604/pamj.2013.14.118.1754. Imprimir 2013.
- Manenti G, Raguso M, D'Onofrio S, et al.Pancoast tumor: the role of magnetic resonance imaging. Case Rep Radiol. 2013;2013:479120. doi: 10.1155/2013/479120. Epub 2013 mar 31.
- Rusch VWManejo de los tumores de Pancoast. Lancet Oncol. 2006 Dic;7(12):997-1005.
- Nikolaos P, Vasilios L, Efstratios K, et alModalidades terapéuticas para los tumores de Pancoast. J Thorac Dis. 2014 Mar;6 Suppl 1(Suppl 1):S180-93. doi: 10.3978/j.issn.2072-1439.2013.12.31.
- Cáncer de pulmón: diagnóstico y tratamiento; directriz NICE (2019 - actualizada en marzo de 2024)
- Marulli G, Battistella L, Mammana M, et al.Tumores del surco superior (tumores de Pancoast). Ann Transl Med. 2016 Jun;4(12):239. doi: 10.21037/atm.2016.06.16.
- Deslauriers J, Tronc F, Fortin DManejo de los tumores que afectan a la pared torácica, incluidos los tumores pancoast y los tumores que invaden la columna vertebral. Thorac Surg Clin. 2013 Aug;23(3):313-25. doi: 10.1016/j.thorsurg.2013.05.001. Epub 2013 jul 16.
- Davis GA, Knight SRtumores de Pancoast. Neurosurg Clin N Am. 2008 Oct;19(4):545-57, v-vi.
Seguir leyendo
Historia del artículo
La información de esta página ha sido redactada y revisada por médicos cualificados.
Próxima revisión prevista: 19 de abril 2028
21 Abr 2023 | Última versión

Pregunte, comparta, conecte.
Explore debates, formule preguntas y comparta experiencias sobre cientos de temas de salud.

¿Se encuentra mal?
Evalúe sus síntomas en línea de forma gratuita