Neumonía
Revisado por Dr Toni Hazell, MRCGPÚltima actualización por Dr Mohammad Sharif Razai, MRCGPÚltima actualización 24 Jun 2024
Satisface las necesidades del paciente directrices editoriales
- DescargarDescargar
- Compartir
- Idioma
- Debate
Profesionales médicos
Los artículos de referencia profesional están diseñados para que los utilicen los profesionales de la salud. Están escritos por médicos del Reino Unido y se basan en pruebas científicas y en las directrices del Reino Unido y Europa. Es posible que le resulte más útil el artículosobre neumoníao alguno de nuestros otrosartículos sobre salud.
En este artículo:
Hay artículos separados sobre la neumonía por aspiración, la neumonía por Pneumocystis jirovecii y la infección del tracto respiratorio inferior en niños.
Seguir leyendo
¿Qué es la neumonía?
La neumonía se caracteriza por una inflamación aguda, con una intensa infiltración de neutrófilos en los alvéolos y bronquiolos terminales y alrededor de ellos. Debido a la inflamación y el edema resultantes, el segmento broncopulmonar afectado o todo el lóbulo pueden consolidarse.
La neumonía se clasifica normalmente en función del organismo causante. Los síntomas de la neumonía incluyen tos, fiebre, disnea, dolor torácico y fatiga. Los factores de riesgo, los signos y los síntomas de cada tipo de neumonía pueden variar según su etiología y su mecanismo patogénico.
Factores de riesgo1
Edad: especialmente bebés, niños pequeños y personas mayores.
Estilo de vida: tabaquismo y alcohol.
Infecciones virales previas: por ejemplo, la gripe puede predisponer a las personas a la infección por Streptococcus pneumoniae.
Respiratorio: asma, enfermedad pulmonar obstructiva crónica (EPOC), neoplasia maligna, bronquiectasia y fibrosis quística.
Inmunosupresión: El SIDA y la terapia citotóxica aumentan el riesgo de infección por especies de Staphylococcus, tuberculosis, bacilos Gram negativos y Pneumocystis jirovecii.
Abuso de drogas intravenosas: a menudo asociado con infección por Staphylococcus aureus.
Hospitalización: a menudo implica organismos Gram negativos.
Neumonía por aspiración: los pacientes con alteraciones de la conciencia, enfermedades neurológicas como la enfermedad cerebrovascular o el Parkinson, u obstrucción esofágica corren riesgo de padecerla. La neumonía por aspiración suele afectar al pulmón derecho y está causada por anaerobios procedentes de la orofaringe.
Enfermedades predisponentes subyacentes, como diabetes mellitus y enfermedades cardiovasculares.
Los inhibidores de la bomba de protones se asocian con un aumento de 1,5 veces en el riesgo de neumonía adquirida en la comunidad debido a la reducción de la secreción de ácido gástrico, lo que facilita la colonización de patógenos en el tracto respiratorio superior.23
Seguir leyendo
Neumonía adquirida en la comunidad
Se trata de una neumonía contraída fuera de hospitales o centros sanitarios. Implica la presencia de síntomas y signos compatibles con una infección aguda del tracto respiratorio inferior, acompañados de nuevas sombras radiográficas para las que no existe otra explicación alternativa.
Patogénesis
Los organismos más probables son: S. pneumoniae, S. aureus, Mycoplasma pneumoniae, Haemophilus influenzae, Chlamydophila pneumoniae y virus respiratorios.5 Los patógenos mixtos se producen hasta en un 25 % de los casos.
¿Qué tan común es la neumonía? (Epidemiología) 6
Entre el 0,5 % y el 1 % de la población del Reino Unido desarrolla neumonía adquirida en la comunidad (NAC) cada año.
Entre los adultos que acuden al médico de cabecera con síntomas de infección del tracto respiratorio inferior, entre el 5 % y el 10 % son diagnosticados con neumonía adquirida en la comunidad (NAC), y entre el 22 % y el 42 % de estos casos son ingresados en el hospital.
La tasa de mortalidad por NAC oscila entre el 5 % y el 14 %, y más del 50 % de las muertes relacionadas con la neumonía se producen en personas mayores de 84 años.
Entre el 1,2 % y el 10 % de los adultos ingresados en el hospital con NAC requieren ingreso en unidades de cuidados intensivos, y para estos pacientes, el riesgo de muerte es superior al 30 %.
La CAP provoca alrededor de 100 000 ingresos hospitalarios cada año en Inglaterra.
La mayoría de los episodios de CAP se producen durante el otoño o el invierno.7
Síntomas y signos de neumonía (presentación)
Síntomas: tos, esputo purulento (puede estar manchado de sangre o tener un color rojizo), disnea, fiebre, dolor torácico pleurítico, rigidez y sudores nocturnos.
Las personas mayores pueden presentar principalmente síntomas sistémicos, como confusión, malestar general, fatiga, anorexia, mialgia y empeoramiento de afecciones médicas preexistentes.
Los niños y los adultos jóvenes pueden presentar náuseas, dolor abdominal, diarrea, dolor de garganta y dolor de cabeza.
Signos: taquipnea, respiración bronquial, crepitaciones, roce pleural, matidez a la percusión.
El diagnóstico es poco probable si no hay signos focales en el tórax y la frecuencia cardíaca, la frecuencia respiratoria y la temperatura son normales.
Evaluación de la necesidad de hospitalización de los pacientes con neumonía adquirida en la comunidad6
La decisión de admitir a un paciente se basa en diversos factores, entre los que se incluyen la gravedad de la enfermedad, la edad, los problemas de salud subyacentes y las circunstancias sociales.
El Instituto Nacional para la Salud y la Excelencia Clínica (NICE) recomienda utilizar la puntuación CRB-65 junto con el criterio clínico.
Se utiliza un sistema de puntuación de 4 puntos, con un punto por cada uno de los siguientes aspectos:
Confusión: puntuación abreviada en la prueba mental de 8 o menos, o nueva desorientación en cuanto a persona, lugar o tiempo.
Frecuencia respiratoria: 30 respiraciones/minuto o más.
Presión arterial: presión arterial sistólica inferior a 90 mm Hg o diastólica inferior a 60 mm Hg.
Edad: 65 años o más.
Los pacientes con una puntuación CRB-65 de 0 tienen un riesgo bajo de mortalidad y se debe considerar la posibilidad de atenderlos en el domicilio. Se debe considerar el ingreso hospitalario para todos los demás pacientes, en particular aquellos con una puntuación CRB-65 de 2 o más. Los pacientes con una puntuación de 3 o más (gravedad alta) requieren ingreso hospitalario inmediato.
Tratamiento de la neumonía adquirida en la comunidad
Al tratar la neumonía, utilice un enfoque sistemático para la evaluación y el tratamiento del paciente.
Oxígeno: administrar oxígeno para la hipoxia y considerar la ventilación si hay hipoxia grave.
Líquidos: administrar líquidos intravenosos a los pacientes con depleción de volumen.
Analgésicos: utilice fármacos antiinflamatorios no esteroideos (AINE) y paracetamol para el dolor pleurítico leve. El dolor más intenso puede requerir analgesia opiácea, pero es necesario actuar con precaución para evitar agravar la retención de CO2.
La solución salina nebulizada puede ayudar a expectorar.
La fisioterapia torácica tiene un beneficio dudoso para la neumonía. La fisioterapia puede ser más importante para ayudar a movilizar al paciente, pero una revisión Cochrane no encontró ningún efecto en la reducción de la mortalidad.9
Aconseje a los pacientes con neumonía adquirida en la comunidad que eviten fumar, descansen y beban mucho líquido.
Consejos sobre redes de seguridad
A quienes no mejoren tras 72 horas de tratamiento se les debe recomendar que acudan a un médico. Todos los casos que susciten preocupación deben ser considerados para su ingreso hospitalario. A los pacientes comunitarios se les debe recomendar que vuelvan si sus síntomas no desaparecen tras tres semanas.
Se recomienda administrar antibióticos en todos los casos sospechosos de neumonía, comenzando lo antes posible.
El tratamiento antimicrobiano debe basarse en las características del paciente, el entorno, la gravedad de la neumonía y la información disponible sobre los patógenos locales y los patrones de resistencia.
CAP de baja gravedad:
Ofrezca un tratamiento de cinco días con amoxicilina, reservando la claritromicina, la eritromicina (en caso de embarazo) o la doxiciclina para pacientes alérgicos a la penicilina o si se sospecha la presencia de un patógeno atípico.
Suspenda los antibióticos después de cinco días, a menos que los resultados microbiológicos sugieran un tratamiento más prolongado o que el paciente no se encuentre clínicamente estable.
CAP moderada a grave:
Los pacientes con neumonía adquirida en la comunidad (NAC) de moderada a grave suelen ser tratados en el hospital. Sin embargo, puede haber ocasiones (por ejemplo, cuando un paciente se niega a ingresar) en las que el médico de cabecera deba proporcionar el tratamiento.
En el caso de la NAC de gravedad moderada, el tratamiento debe ser el mismo que para la NAC de gravedad baja, a la espera de los resultados microbiológicos.
Para la NAC grave, se debe ofrecer un tratamiento de cinco días con coamoxiclav junto con claritromicina o eritromicina (en el embarazo). Se puede utilizar la vía oral o intravenosa, aunque esta última puede resultar difícil en la comunidad.
La levofloxacina por vía oral o intravenosa es una opción para los pacientes alérgicos a la penicilina.
Neumonía por patógenos atípicos1011
Patogénesis
Los organismos más comunes son:
Mycoplasma pneumoniae.
Chlamydophila pneumoniae.
Legionella pneumophila.
Otros microorganismos que causan patrones similares de presentación a través de infección pulmonar incluyen:
Chlamydophila psittaci: la exposición a aves, especialmente a las enfermas, es una pista útil en la historia clínica.
Coxiella burnetii: se presenta como fiebre Q.
Neumonías virales: incluyendo la gripe A, el síndrome respiratorio agudo grave (SARS), el virus respiratorio sincitial (VRS), los adenovirus y la neumonitis por varicela (neumonitis por varicela).
Epidemiología
Los organismos atípicos podrían estar implicados en aproximadamente el 22 % de los casos de neumonía adquirida en la comunidad (NAC) a nivel mundial. 1213
Factores de riesgo
El micoplasma y la clamidophila se propagan por contacto entre personas, y la transmisión es más frecuente en poblaciones cerradas, como escuelas y oficinas.
Las legionelas se encuentran normalmente en aguas infestadas y en sistemas de agua artificiales.
La Coxiella burnetii se transmite por inhalación o por ingestión de productos animales contaminados.
Síntomas de la neumonía atípica
M. pneumoniae:14
Antecedentes vagos y de aparición lenta durante unos días o semanas de malestar general, fiebre, dolor de cabeza, tos seca con dolor traqueítico ± pleurítico, mialgia, malestar general y dolor de garganta.
Es similar a muchas de las enfermedades virales comunes, pero lo que la distingue es la persistencia y la progresión de los síntomas.
En personas por lo demás sanas, suele resolverse espontáneamente en unas pocas semanas.
La tos seca y persistente puede ser muy molesta.
Las características extra-respiratorias incluyen erupciones cutáneas como eritema multiforme, eritema nodoso y urticaria; complicaciones neurológicas como síndrome de Guillain-Barré, mielitis transversa, ataxia cerebelosa y meningitis aséptica; complicaciones hematológicas como enfermedad por aglutininas frías y anemia hemolítica; síntomas articulares como artralgia y artritis; complicaciones cardíacas como pericarditis y miocarditis; en raras ocasiones, puede causar pancreatitis.
C. pneumoniae:15
Aparición gradual, que puede mostrar mejoría antes de empeorar nuevamente; el período de incubación es de 3 a 4 semanas.
Los síntomas iniciales inespecíficos de infección del tracto respiratorio superior conducen a características bronquíticas o neumónicas.
La mayoría de los infectados se mantienen bien o son asintomáticos.
La tos con escaso esputo es una característica destacada.
La ronquera es un síntoma común.
El dolor de cabeza afecta a la mayoría de los pacientes sintomáticos.
La fiebre es relativamente poco habitual.
Los síntomas pueden prolongarse durante semanas o meses, a pesar de un tratamiento con antibióticos adecuados.
Cuando causa problemas significativos, esto puede deberse a una infección secundaria o a una enfermedad coexistente, como la diabetes.
L. pneumophila:16
Esta suele ser la más grave de las neumonías causadas por patógenos atípicos. Véase el artículo separado sobre la enfermedad del legionario.
Los brotes focales se concentraron en sistemas de aire acondicionado o humidificación en mal estado, lo que a menudo fue observado retrospectivamente por los médicos de salud pública.
Tiene un período de incubación de 2 a 10 días.
Dolor de cabeza leve inicial y mialgia que conduce a fiebre alta, escalofríos y rigidez repetida; los síntomas no torácicos suelen predominar al principio.
La tos está presente casi siempre, inicialmente es improductiva, pero puede conducir a expectoración más adelante.
La disnea, el dolor pleurítico y la hemoptisis no son infrecuentes.
Pueden producirse trastornos gastrointestinales, como diarrea, náuseas y vómitos o pérdida de apetito/anorexia.
Pueden producirse complicaciones neurológicas como confusión, desorientación y déficit neurológico focal.
A menudo se informa de artralgia y mialgia.
Las complicaciones graves incluyen pancreatitis, peritonitis, pericarditis, miocarditis, endocarditis y glomerulonefritis.
Síntomas de neumonía atípica
Busque signos de afectación extratorácica si se sospecha la presencia de un patógeno atípico y compruebe los signos vitales.
Los signos torácicos no suelen ser útiles. De hecho, la discordancia entre los signos torácicos y la enfermedad del paciente o la apariencia florida de la radiografía de tórax inicial a menudo hace sospechar de un patógeno atípico.
Se pueden encontrar signos torácicos inespecíficos y evidencia de consolidación, pero esto es mucho menos común que en las neumonías «estándar».
Puede haber signos en otros sistemas, debido a complicaciones de la infección.
Tratamiento de la neumonía atípica
Las neumonías causadas por patógenos atípicos suelen tratarse como cualquier otra NAC, al menos inicialmente. Las pruebas serológicas tienen poco valor para la mayoría de los pacientes con NAC.11
Se ha demostrado que la doxiciclina, la claritromicina y la eritromicina (la opción preferida durante el embarazo) son eficaces para tratar los tres organismos infecciosos más comunes. Deben considerarse en todos los casos de neumonía (incluida la adquirida en la comunidad) en los que se sospeche la presencia de patógenos atípicos.10
La resistencia a los macrólidos es un problema cada vez más preocupante.17
Las infecciones graves por Legionella pueden requerir rifampicina y un macrólido.16 .
Las fluoroquinolonas también son eficaces contra los tres organismos infecciosos comunes.10
Seguir leyendo
Neumonía adquirida en el hospital6 18
Se define como una nueva infección del parénquima pulmonar que aparece más de 48 horas después del ingreso hospitalario.
Se presenta principalmente en pacientes gravemente debilitados, inmunodeprimidos o con ventilación mecánica.
Las infecciones que se producen menos de cinco días después del ingreso hospitalario suelen estar causadas por S. pneumoniae.
Las infecciones que se producen después de este tiempo suelen estar causadas por H. influenzae, Staphylococcus aureus resistente a la meticilina ( SARM), Pseudomonas aeruginosa y otras bacterias gramnegativas no pseudomonas.
La neumonía adquirida en el hospital suele estar causada por múltiples organismos.
Diagnósticos diferenciales
Edema pulmonar.
Derrame pleural.
Neumotórax.
Embolia pulmonar.
Asma.
EPOC.
Bronquiectasias.
Alveolitis fibrosante.
Neoplasia.
Sarcoidosis.
Complicaciones de la neumonía, por ejemplo, empiema y absceso pulmonar.
Diagnóstico de la neumonía (investigaciones)6
Por lo general, no es necesario realizar investigaciones en la mayoría de los pacientes atendidos en la comunidad. Se pueden utilizar métodos sencillos, como la oximetría de pulso, para evaluar la oxigenación y el estado clínico.
Si un paciente ingresa en el hospital, las siguientes pruebas podrían ayudar con el diagnóstico:
Radiografía de tórax
El diagnóstico definitivo de la NAC requiere evidencia de consolidación en una radiografía de tórax (RXT). Por lo tanto, se recomienda realizar una RXT a todos los pacientes ingresados en el hospital lo antes posible, idealmente en las primeras 4 horas tras el ingreso.
Análisis de sangre
Hemograma completo con recuento diferencial de glóbulos blancos.
Proteína C reactiva (PCR) para ayudar en el diagnóstico y como medida de referencia.
Urea y electrolitos.
Pruebas de función hepática.
Hemocultivos.
Gasometría arterial (ABG)
Otras pruebas
Examen y cultivo de esputo.
Aspiración de líquido pleural (para bioquímica y cultivo).
Pruebas de antígenos neumocócicos y legionella en orina.
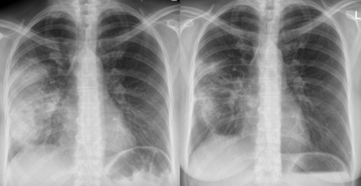
Imagen radiográfica de neumonía antes (izquierda) y después (derecha) del tratamiento con antibióticos.
Neumonía aguda

Hellerhoff, CC BY-SA 3.0, a través de Wikimedia Commons
Complicaciones de la neumonía
Derrame pleural que suele ser estéril.
Empiema: puede producirse un derrame reactivo, pero es insignificante. El empiema es potencialmente más grave y se manifiesta como persistencia de fiebre y leucocitosis tras 4-5 días de tratamiento antibiótico adecuado.
Absceso pulmonar: puede estar causado por S. pneumoniae y se observa habitualmente en pacientes con neumonía por Klebsiella o estafilococos.
Síndrome de dificultad respiratoria aguda (SDRA)
Neumatocele.
Neumotórax.
Pionneumotórax, por ejemplo, tras la rotura de un absceso pulmonar estafilocócico en la cavidad pleural.
Trombosis venosa profunda (TVP).
Septicemia, pericarditis, endocarditis, osteomielitis, artritis séptica, absceso cerebral y meningitis (especialmente en la neumonía neumocócica).
Bronquiectasia postinfecciosa.
Lesión renal aguda.
Pronóstico
La mortalidad por NAC es inferior al 1 % en aquellos pacientes que se encuentran lo suficientemente bien como para ser tratados en la comunidad.19 La tasa de mortalidad en pacientes ingresados en el hospital es del 5-10 % para aquellos que no requieren ingreso en la unidad de cuidados intensivos, de hasta el 25 % en pacientes intubados y de casi el 50 % en pacientes de la unidad de cuidados intensivos que requieren la administración de vasopresores.20
La Legionella tiene el curso más grave y puede causar una morbilidad significativa si no se trata a tiempo. Un metaanálisis de pacientes sometidos a dos regímenes de tratamiento diferentes reveló que los que tomaban quinolonas tenían una tasa de mortalidad del 4 %, mientras que los que tomaban macrólidos tenían una tasa de mortalidad del 10,9 %.21
Prevención
Los principales métodos de prevención son el control de los factores de riesgo, principalmente mediante la vacunación y el abandono del tabaco.
Vacunación
Según la Agencia de Seguridad Sanitaria del Reino Unido, a los adultos mayores de 65 años y a los grupos de riesgo (por ejemplo, las personas con diabetes, enfermedades respiratorias crónicas, enfermedades renales crónicas o inmunodeprimidas) se les debe ofrecer una dosis única de la vacuna polisacárida neumocócica 23-valente (PPV23).
Las personas mayores de 65 años y los grupos de riesgo también deben recibir una vacuna anual contra la gripe si no hay contraindicaciones.
Dejar de fumar
El tabaquismo, incluido el tabaquismo pasivo, es un factor de riesgo independiente para la neumonía adquirida en la comunidad.22 Por lo tanto, es fundamental fomentar el abandono del tabaco, especialmente entre las personas con riesgo de padecer neumonía.
Lecturas complementarias y referencias
- Neumonía en adultos; Norma de calidad NICE, enero de 2016.
- Heo JY, Song JY; Carga de morbilidad y distribución etiológica de la neumonía adquirida en la comunidad en adultos: evolución de la epidemiología en la era de las vacunas conjugadas contra el neumococo. Infect Chemother. Diciembre de 2018; 50(4):287-300. doi: 10.3947/ic.2018.50.4.287.
- Torres A, Peetermans WE, Viegi G, et al.Factores de riesgo de neumonía adquirida en la comunidad en adultos en Europa: revisión bibliográfica. Thorax. 2013 Nov;68(11):1057-65. doi: 10.1136/thoraxjnl-2013-204282.
- Abramowitz J, Thakkar P, Isa A, et al.; Notificación de acontecimientos adversos relacionados con el tratamiento con inhibidores de la bomba de protones: resumen de revisiones sistemáticas. Otolaryngol Head Neck Surg. Octubre de 2016; 155(4):547-54. doi: 10.1177/0194599816648298. Publicación electrónica: 17 de mayo de 2016.
- Eom CS, Jeon CY, Lim JW, et al.; Uso de fármacos supresores de ácido y riesgo de neumonía: revisión sistemática y metaanálisis. CMAJ. 22 de febrero de 2011; 183(3):310-9. doi: 10.1503/cmaj.092129. Publicación electrónica 20 de diciembre de 2010.
- Durrington HJ, Summers C; Cambios recientes en el tratamiento de la neumonía adquirida en la comunidad en adultos. BMJ. 21 de junio de 2008; 336(7658):1429-33.
- Woodhead M, Blasi F, Ewig S, et al.; Directrices para el tratamiento de las infecciones del tracto respiratorio inferior en adultos: resumen. Clin Microbiol Infect. Noviembre de 2011; 17, suplemento 6: 1-24. doi: 10.1111/j.1469-0691.2011.03602.x.
- Neumonía: Diagnóstico y tratamiento de la neumonía adquirida en la comunidad y en el hospital en adultos; Directriz clínica del NICE (diciembre de 2014 - última actualización octubre de 2023)
- Oosterheert JJ, Bonten MJ, Schneider MM, et al.Eficacia del cambio temprano de antibióticos intravenosos a antibióticos orales en la neumonía grave adquirida en la comunidad: ensayo aleatorizado multicéntrico. BMJ. 9 de diciembre de 2006; 333(7580):1193. doi: 10.1136/bmj.38993.560984.BE. Publicación electrónica: 7 de noviembre de 2006.
- Guía comentada de la BTS para el tratamiento de la NAC en adultos; Sociedad Británica del Tórax (2009 - Resumen de recomendaciones actualizado en 2015)
- Yang M, Yan Y, Yin X, et al.; Fisioterapia torácica para la neumonía en adultos. Cochrane Database Syst Rev. 28 de febrero de 2013; (2): CD006338. doi: 10.1002/14651858.CD006338.pub3.
- Neumonía (adquirida en la comunidad): prescripción de antimicrobianosGuía NICE (septiembre de 2019)
- Directrices para el tratamiento de las infecciones del tracto respiratorio inferior en adultos; Sociedad Respiratoria Europea y Sociedad Europea de Microbiología Clínica y Enfermedades Infecciosas (septiembre de 2011)
- Arnold FW, Summersgill JT, Ramírez JA; Papel de los patógenos atípicos en la etiología de la neumonía adquirida en la comunidad. Semin Respir Crit Care Med. Diciembre de 2016; 37(6):819-828. doi: 10.1055/s-0036-1592121. Epub 13 de diciembre de 2016.
- Bjarnason A, Westin J, Lindh M, et al.; Incidencia, etiología y resultados de la neumonía adquirida en la comunidad: un estudio basado en la población. Open Forum Infect Dis. 8 de febrero de 2018; 5(2):ofy010. doi: 10.1093/ofid/ofy010. eCollection febrero de 2018.
- Waites KB, Xiao L, Liu Y, et al.; Mycoplasma pneumoniae del tracto respiratorio y más allá. Clin Microbiol Rev. Julio de 2017; 30(3):747-809. doi: 10.1128/CMR.00114-16.
- Choroszy-Krol I, Frej-Madrzak M, Hober M, et al.Infecciones causadas por Chlamydophila pneumoniae. Adv Clin Exp Med. Enero-febrero de 2014; 23(1):123-6.
- Brady M y otros; Enfermedad del legionario (infección por Legionella), 2019
- Sharaby Y, Nitzan O, Brettar I, et al.; Susceptibilidad a los agentes antimicrobianos de los genotipos MLVA-8 de Legionella pneumophila. Sci Rep. 16 de abril de 2019; 9(1):6138. doi: 10.1038/s41598-019-42425-1.
- Neumonía (adquirida en el hospital): prescripción de antimicrobianosGuía NICE (septiembre de 2019)
- Directrices para el tratamiento de la neumonía adquirida en la comunidad en adultos; Sociedad Británica del Tórax (2009), Thorax Vol 64 Sup III
- Restrepo MI, Faverio P, Anzueto A; Pronóstico a largo plazo en la neumonía adquirida en la comunidad. Curr Opin Infect Dis. Abril de 2013; 26(2):151-8. doi: 10.1097/QCO.0b013e32835ebc6d.
- Burdet C, Lepeule R, Duval X, et al.; Quinolonas frente a macrólidos en el tratamiento de la legionelosis: revisión sistemática y metaanálisis. J Antimicrob Chemother. Septiembre de 2014; 69(9):2354-60. doi: 10.1093/jac/dku159. Publicación electrónica: 14 de mayo de 2014.
- Lim WS, Baudouin SV, George RC, et al.; Directrices de la BTS para el tratamiento de la neumonía adquirida en la comunidad en adultos: actualización de 2009. Thorax. Octubre de 2009; 64, suplemento 3: iii1-55. doi: 10.1136/thx.2009.121434.
Seguir leyendo
Historia del artículo
La información de esta página ha sido redactada y revisada por médicos cualificados.
Próxima revisión prevista: 23 de junio 2027
24 Jun 2024 | Última versión

Pregunte, comparta, conecte.
Explore debates, formule preguntas y comparta experiencias sobre cientos de temas de salud.

¿Se encuentra mal?
Evalúe sus síntomas en línea de forma gratuita